Skip to main content
Need Urgent Dental Care During The Holidays?
We’re here to help! Emergency dental appointments are available throughout the break.
Call us now to book immediate care and avoid the wait
, please call or SMS
0426 651 885
Sparkling Dental
Book Now
Like us on Facebook
Watch our Youtube Videos
Leave a Google Review
Instagram
(02) 9953 0088
27-35 Grosvenor St. Shop 6 Neutral Bay, NSW 2089
Home
About
Our Team
Technology
Our Practice
Services
View All
Orthodontics
Dental Implants
Professional Teeth Whitening
Preventive Dentistry
Children's Dentistry
General Dentistry
Emergency Dentist Sydney
Cosmetic Dentistry
Veneers
Smile Gallery
Patient Info
View Patient Info
Your First Visit
Forms & Aftercare
Financial
Specials
FAQs
Blog
Community
Sparkling Noon Tea
Contact
Sparkling Dental
>
Smile Gallery
>
Composite Veneers
Composite Veneers
Return to Smile Gallery
Previous
Next
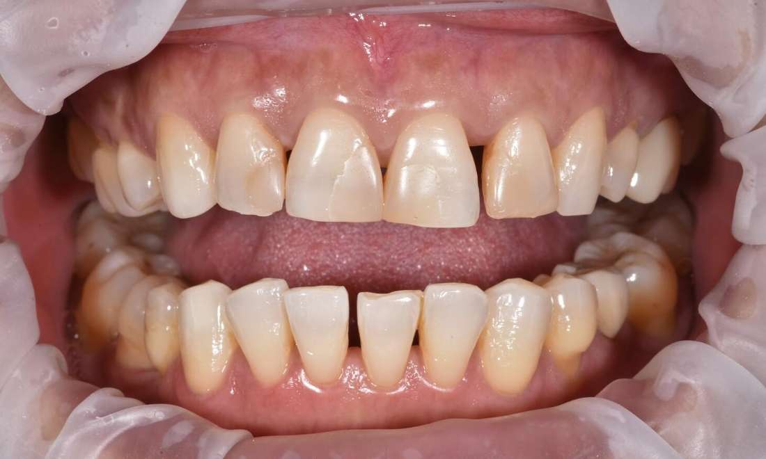
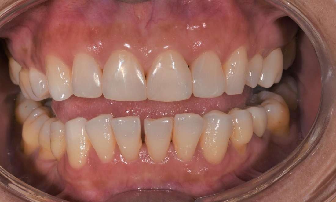
Composite veneers on tooths 12 & 22
Related Services:
Professional Teeth Whitening
Click image to see a larger picture
Before
After
Ready to book an appointment?
Book Now
OK!
×
×
Contact Us Today
Give Us A Call
Sparkling Dental -
(02) 9953 0088
Send Us an Email
Ready to Book an Appointment?
Book Online
Have Questions? Contact Us:
Required Field
Your Name:
Phone:
Email:
Are you a new patient?:
Are you a?
New Patient
Current Patient
How would you like us to contact you?
Please choose
Email
Call
How did you hear about us?
Please choose
I'm an existing patient
Google/Bing
Mailer
Word of mouth
Social media
Other
Who Referred You?:
Your Message:
This site is protected by reCAPTCHA and the Google
Privacy Policy
and
Terms of Service
apply.
Sending...
×
This Patient's Experience
Loading Testimonial...
Loading Case...